戻る

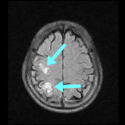
多発性脳梗塞